Case Report
Creative Commons, CC-BY
Choristoma as an Indicental Finding in the Clivus after Cerebrospinal Fluid Fistula Secondary to Sars-Cov2-2 Nasal Swab
*Corresponding author:P Alejandra Garrido Ruiz, Department of NeuroSurgery, Complejo Asistencial Universitario de Salamanca Paseo de la Transición Española, 37007, Salamanca, Spain.
Received: January 11, 2023; Published: February 15, 2023
DOI: 10.34297/AJBSR.2023.18.002425
Background
I present a case of cerebrospinal fluid fistula after a nasal swab sampling for SARS-CoV-2 diagnosis, with persistent intermittent symptoms. A brain MRI revealed an expansile lesion of the clivus. The case is highly interesting because the clivus is a rare location for salivary gland heterotopia.
Methods
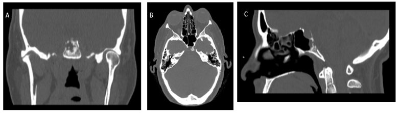
I present the case of a 52-year-old patient who, after a nasal swab sampling for SARS-CoV-2 diagnosis, presented CSF fistula. After the swab, she reported a burning sensation and nasal leak of the left nostril after 24 hours, persistent and intermittent when she bended the head down and with certain head movements. Liquid was collected for several days, and the B-trace levels were in the upper reference limit. A brain MRI revealed a lesion on the clivus with extension towards the sphenoid sinus and the posterior cranial fossa that suggested ecchordosis physaliphora, with noticeable secondary CSF leakage with liquid on the dependent portion of the sphenoid sinus [1-6].
Results
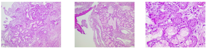
The lesion of the clivus was excised and an endonasal endoscopic closure of the dural defect was performed through the fascia lata, fat, and Hadad flap. 3 days after discharge, she presented an emetic event with a new episode of CSF rhinorrhea. An emergency repair of the fistula was successfully conducted. Finally, the histological results revealed salivary gland heterotopia [7-13] (Figures 1-3).
Conclusion
Salivary gland heterotopia in the clivus is a rare entity (salivary gland tumors represent almost 3% of all tumors of head and neck) with a casual diagnosis that was secondary to a CSF fistula after a nasal swab, which is in itself a rare condition. Salivary gland heterotopia must be treated with surgery, not only because of the CSF fistula in this case, but in general terms because this lesion risks becoming a pleomorphic adenoma.
References
- Alberola-Amores FJ, Valdeolivas-Urbelz E, Torregrosa-Ortiz M, Alvarez-Sauco M, Alom- Poveda J (2021) Meningitis due to cerebrospinal fluid leak after nasal swab testing for COVID-19. Eur J Neurol 28(11): e91-e92.
- Paquin R, Ryan L, Vale FL, Rutkowski M, Byrd JK (2021) CSF Leak After COVID-19 Nasopharyngeal Swab: A Case Laryngoscope 131(9):1927-1929.
- Sullivan CB, Schwalje AT, Jensen M, et al. (2020) Cerebrospinal fluid leak after nasal swab testing for coronavirus disease 2019. JAMA Otolaryngol Head Neck Surg 146(12): 1179-1181.
- Foh B, Borsche M, Balck A, et al. (2021) Complications of nasal and pharyngeal swabs: a relevant challenge of the COVID-19 pandemic? Eur Respir J 57(4): 2004004.
- Centers for Disease Control and Prevention (2021) Interim Guidelines for Collecting, Handling, and Testing Clinical Specimens for COVID-19.
- Lobo Brian C, Baumanis M marya, Nelson Rick F (2017) Surgical repair of spontaneous cerebrospinal fluid (CSF) leaks: a systematic review. Laryngoscope Investig Otolaryngol 2(5): 215-224.
- Fontanel JP, Poitout F, Klossek JM (1995) Tumeurs des glandes salivaires. En: Ency- clopédie Médico-Chirurgie. Paris.
- Daniel E, McGuirt W Frederick (2005) Neck masses secondary to heterotopic salivary gland tissue: a 25-year experience. Am J Otolaryngol 26(2): 96-100.
- Singer MI, Applebaum EL, Loy KD (1979) Heterotopic salivary tissue in the neck. Laryngoscope 89: 1772-1778.
- Ferlito A, Bertino G, Rinaldo A, Mannara G M, Devaney K O (2016) A review of heterotopia and associated salivary gland neoplasms of the head and J Laryngol Otol 113: 299-303.
- AL Rhoton (2019) Rhoton's Cranial Anatomy and Surgical Approaches. Congress of Neurological Surgeons (CNS), Oxford University Press.
- M Greenberg (2019) Handbook of Neurosurgery, Thieme (9th edn).
- JM González Darder (2015) Abordajes Neuroquirurgicos de la Patología Craneal y Elsevier.




We use cookies to ensure you get the best experience on our website.